Entamoeba gingivalis
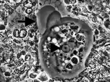
Entamoeba gingivalis apatojen bir protozoondur (Hastalık oluşturduğu da bildirilmiştir). İnsanda yerleştiği bildirilen ilk amip türüdür. Genellikle ağızda gingival ceplerde ve diş etrafındaki dokularda yerleşir. Gingivit ve periodontit olana hastalarda sık gözlenir fakat oral hijyen önemlidir. Kist formu yoktur. Öpüşme veya aynı beslenme araçlarını kullanma yoluyla insandan insana bulaşabilir. Yalnızca 10-35 boyutlarında trofozoit formu vardır. Yuvarlak çekirdeği 2-4 mikrometre çapındadır ve merkezi bit endozomu vardır. Pseudopodları ile hızlıca yer değiştirebilir. Stoplazmasında çok sayıda besin vakoülü içerir. Besin atıklarını, bakterileri, kan hücrelerini fagosite edebilir.
| Entamoeba gingivalis | ||||||||||||||||||||
|---|---|---|---|---|---|---|---|---|---|---|---|---|---|---|---|---|---|---|---|---|
![]() Entamoeba gingivalis | ||||||||||||||||||||
| Bilimsel sınıflandırma | ||||||||||||||||||||
| ||||||||||||||||||||
Gros, 1849 & Brumpt, 1913 | ||||||||||||||||||||
This article is issued from Wikipedia. The text is licensed under Creative Commons - Attribution - Sharealike. Additional terms may apply for the media files.
