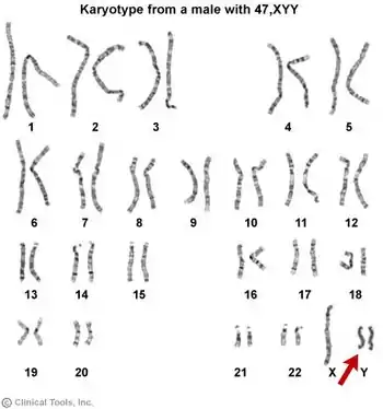
XYY sendromu
XYY sendromu veya süper erkek sendromu; erkek bireyin iki Y kromozomu taşımasına neden olan bir eşey kromozomlarında meydana gelen anöplodi durumudur.
Görünümleri

Genellikle uzun boyluluk dışında herhangi bir morfolojik değişim görülmez. Boy ortalamaları, normalin yaklaşık 7 cm'in üzerindedir. Gelişme geriliği ve davranış sorunları vardır. Normal doğurganlıkta ve testosteron seviyesindedirler. Bu karyotipe ilişkin bazı çelişkiler yaşanmıştır. İlk kez hapishane hastanesinde zeka olarak normal-altı olan erkeklerde rapor edilmiştir. Hapishanedeki 197 kişi arasında 7 tane XYY erkek varken, 2000 kontrol erkeğinden yalnızca bir tanesi XYY idi. Daha sonraki ayrıntılı çalışmalar her ne kadar bu durumun istatistiksel olarak yanlış olduğu kesinleşti ise de - Dikkat çekici sayıda XYY erkek birey normal bir yaşam sürmektedir, XYY erkeklerin en fazla %4'ü ceza evi ya da akıl hastanesinde son bulmaktadır-, XYY erkeklerinin zeka düzeylerinin biraz düşük olduğu gözlemlenmektedir. Böylece cinayete eğilim, ekstra Y kromozomundan değil daha ziyade düşük zekanın ortaya çıkardığı bir davranış biçimidir. Bu bireylerin vahşi cinayet işlemediği saptanmıştır. Bu konuda başlatılan bir Harvard projesi (Yeni doğanların kromozom analizi) halkın çeşitli etik nedenlerle eleştirel baskısı sonucu durdurulmuştur[1]. Bunun yanında genel olarak bu sendroma sahip çocuklar okul çağlarında öğrenme güçlüğü çekmekte ve yaklaşık %50 si öğrenim sırasında destek almaktadır.
Nedenleri
Erkek bireyde gamet oluşumu sırasında mayozun ikinci evresinde Y kromozomlarının ayrılmamasıyla YY kromozomu taşıyan spermler oluşabilir. Eğer bu spermler normal bir yumurta hücresini döllerse, embriyo 44+XYY kromozom setini taşır. Birey, 47, XYY karyotipli olarak doğar. Bu bireylerde X Kromozom'larından biri barr cisimciği halini alır.
Yaklaşık, her 1000 canlı doğumdan birinde 47, XYY karyotipli bebekler doğar.
Türleri
Bazen, embriyonik dönemde mitozun geç safhalarında fazla Y kromozomu mozaik olarak görülebilir. Karyotip; 46,XY/47,XYY olarak görülür.
Ayrıca bakınız
- Trizomi
- Klinefelter sendromu
- Turner sendromu
- Triple X sendromu
- 48,XXYY sendromu
Kaynakça
- Palme Yayınları, Genetik, Prof. Dr. Ali Nihat Bozcuk | Kasım 2000 | sf: 212 | ISBN 975-7477-80-X